|
|
تظهر الأبحاث العلمية يوماً بعد يوم الاختلاف بين الرجل والمرأة في كل شيء تقريباً، وفي هذه المقالة حقائق جديدة توصل إليها العلماء تأتي لتشهد على صدق هذا القرآن.......... |
قال تعالى في آية عظيمة مؤكداً أن الذكر يختلف عن الأنثى: (وَلَيْسَ الذَّكَرُ كَالْأُنْثَى) [آل عمران: 36]. ولو تتبعنا الأبحاث الطبية المقارنة بين الرجل والمرأة نلاحظ أنهم في كل يوم يكشفون اختلافاً جديداً بين الذكر والأنثى، حتى شملت الاختلافات كل جزء من أجزاء الجسد. وفي هذه المقالة نتائج ملفتة للانتباه ظهرت حديثاً في هذا الموضوع.
يقول العلماء في القرن الحادي والعشرين إن الكتب والأبحاث والأصوات التي كنا نسمعها في السبعينيات من القرن العشرين كانت خاطئة، لأنها تدعو وتوهم الناس أن دماغ المرأة مثل دماغ الرجل، والأبحاث الجديدة اليوم والتي تتم بواسطة أجهزة المسح بالرنين المغنطيسي الوظيفي تبين اختلافات جذرية واضحة بين دماغ المرأة ودماغ الرجل.
وربما نتذكر تلك النظرية التي ظهرت منذ سنوات وتؤكد أن الاختلاف بين الطفل والطفلة يكون بسبب أسلوب التربية فقط، فنحن نربي الأنثى على عادات تختلف عن تربية الذكر، ولكن تبين فيما بعد أن هذه النظرية خاطئة، لأن الإنسان يولد وفي دماغه برنامج خاص يختلف من الذكر إلى الأنثى.
الدماغ: إنه الجزء الأكثر تعقيداً في جسم الإنسان، يحوي أكثر من مئة تريليون خلية أي 100000000000000 وهذا عدد ضخم جداً، وهو عدد تقريبي وقد يكون العدد الحقيقي أكبر بكثير، والله أعلم. ويقول العلماء إن دماغ الذكر منذ بداية خلقه (في الجنين) يختلف عن دماغ الأنثى.
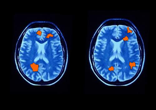
إن ظاهرة اختلاف دماغ الرجل والمرأة أثارت اهتمام العلماء فقاموا بدراسة الحالات المختلفة للدماغ عندما يفكر وعندما يغضب وعندما يحزن وغير ذلك من الانفعالات النفسية ووجدوا أن الدماغ لدى الرجل يعمل بطريقة مختلفة عن دماغ المرأة. ولكن الأمر لم يتوقف عند ذلك، فقالوا لابد أن هناك تشابهاً في عمل خلايا الدماغ بين الرجل والمرأة أثناء الراحة، أي عندما لا يقوم الإنسان بأي تفكير.
ولكن باحثين من جامعة كاليفورنيا وجدوا أن دماغ المرأة يتصرف بشكل مختلف عن دماغ الرجل حتى في حالة الراحة أو السكون!! أي عندما يكون الرجل جالساً لا يعمل أي شيء، ولا يفكر بشيء، وكذلك عندما تكون المرأة جالسة لا تفكر بشيء فإن التصوير بالرنين المغنطيسي أظهر أن النشاط في مناطق الدماغ للرجل يختلف عن دماغ المرأة بشكل واضح.
فقد كشف الدكتور Larry Cahill أن دماغ الرجل يعالج المعلومات بطريقة مختلفة جداً عن دماغ المرأة، حتى في حالة الراحة، واستخدم الباحث إشعاع Positron Emission Tomography أو اختصاراً PET في تجربة تشمل 36 رجلاً و 36 امرأة، وذلك لدراسة نشاط الدماغ أثناء الراحة دون التفكير بشيء، وأظهرت الصور أن المناطق التي تنشط في دماغ المرأة تختلف عن المناطق التي تنشط في دماغ الرجل!
ويقول الباحثون إن هذه النتائج غريبة وغير متوقعة، فطالما اعتقدوا أنه لا فرق بين دماغ الرجل ودماغ المرأة، ولكن هذا البحث أكد لهم أن الدماغ يعمل بشكل مختلف جداً عند الرجل والمرأة، ويقولون:
إن تصميم دماغ المرأة جاء مناسباً لتحمل الألم والإجهادات (مثل آلام الولادة) أكثر من الرجل حيث إن دماغ الرجل لا يوجد فيه مثل هذه الميزة!!
ويقول الباحث Cahill :
العجيب أن تصميم دماغ الرجل ودماغ المرأة جاء كل منهما متناغماً مع العمل الذي سيقوم به.
إن العلماء يعجبون من هذا الأمر لأنهم يردون أي ظاهرة للطبيعة، ولكننا كمؤمنين نعجب أيضاً ولكن هذه الحقائق تزيدنا إيماناً وخشوعاً وتسليماً للخالق تبارك وتعالى. فالله تعالى هو القائل: (ذَلِكُمُ اللَّهُ رَبُّكُمْ لَا إِلَهَ إِلَّا هُوَ خَالِقُ كُلِّ شَيْءٍ فَاعْبُدُوهُ وَهُوَ عَلَى كُلِّ شَيْءٍ وَكِيلٌ * لَا تُدْرِكُهُ الْأَبْصَارُ وَهُوَ يُدْرِكُ الْأَبْصَارَ وَهُوَ اللَّطِيفُ الْخَبِيرُ) [الأنعام: 102-103].
تظهر الصور الناتجة عن جهاز المسح بالرنين المغنطيسي الوظيفي fMRI أن الرجل والمرأة عندما يقومان بنفس العمل فإن مناطق مختلفة من الدماغ تنشط، بما يؤكد بوضوح كامل أن طريقة عمل الدماغ لدى الرجل تختلف عن طريقة عمل الدماغ لدى المرأة.
وفي دراسة ثانية تبين أن دماغ الأنثى يختلف عن دماغ الرجل في تخزين المعلومات بالنسبة للذاكرة الطويلة، أي أن الرجل يستعمل مناطق من دماغه تختلف عن المرأة في تخزين المعلومات لفترة طويلة. ومع تقدم العمر تتأثر المعلومات التي اختزنها الرجل في دماغه بطريقة مختلفة عن المرأة، فمثلاً المواد المخدرة الطبيعية التي يفرزها الدماغ ليعالج بها الآلام تؤثر على الذاكرة الطويلة لدى النساء بنسبة أكبر من الرجال، وربما ندرك لماذا كانت شهادة المرأة نصف شهادة الرجل، يقول تعالى: (وَاسْتَشْهِدُوا شَهِيدَيْنِ مِنْ رِجَالِكُمْ فَإِنْ لَمْ يَكُونَا رَجُلَيْنِ فَرَجُلٌ وَامْرَأَتَانِ مِمَّنْ تَرْضَوْنَ مِنَ الشُّهَدَاءِ أَنْ تَضِلَّ إِحْدَاهُمَا فَتُذَكِّرَ إِحْدَاهُمَا الْأُخْرَى) [البقرة: 282].
وتبين الأبحاث الجديدة أن عاطفة المرأة تؤثر على ذاكرتها بطريقة أكبر من الرجل، ولذلك فإن نسبة الإبداع عند الرجل تكون أكبر من المرأة، وهكذا نجد أن المبدعين عبر التاريخ كان معظمهم من الرجال! وفي دراسة جديدة تبين أن المرأة تتعرض لانخفاض في ذاكرتها أثناء فترة الحمل وبعده بعام، وأن ذاكرة المرأة تتأثر بالأحداث والظروف أكثر من ذاكرة الرجل، من أجل هذه الأسباب: هل نعلم لماذا شهادة المرأة تعدل نصف شهادة الرجل أمام القضاء!
ويؤكد العلماء على وجود اختلافات واضحة بين دماغ الذكر ودماغ الأنثى وتظهر جلية في المنطقة السماة hypothalamus والمنطقة قبل البصرية حيث تحوي هذه المنطقة عند الرجال ضعف عدد الخلايا عند النساء.
كذلك هناك اختلاف واضح في استجابة الدماغ والإبداع والسلوك ما بين الرجال والنساء. وتتجلى هذه الاختلافات في الإدراك والذاكرة حيث تختلف ذاكرة المرأة عن ذاكرة الرجل.
إذا قمنا بوزن دماغ رجل ودماغ امرأة سنجد أن دماغ الرجل أثقل بنسبة لا تقل عن 10 بالمئة وقد تصل إلى 20 بالمئة أحياناً، وهذا اختلاف يُضاف للاختلافات الكثيرة بين الرجل والمرأة. وحتى نسبة موت الخلايا في الدماغ تختلف من الرجل إلى المرأة، وطريقة عمل هذه الخلايا تختلف، فقد وجد الباحثون أن نسبة انكماش الدماغ (تنكس الخلايا) عند الرجل أكبر منه وأكثر وضوحاً من المرأة مع تقدم العمر. وهكذا اختلاف في كل شيء تقريباً..

يبين هذا المخطط تغير وزن الدماغ مع تقدم العمر، الشكل الأعلى يوضح تغير وزن الدماغ مع تقدم العمر منذ الولادة وحتى عمر 86 سنة، والشكل السفلي يبين النسبة المئوية لوزن الدماغ بالنسبة لوزن الجسم وكيف تتغير مع تقدم العمر. ويتبين لنا أن دماغ الرجل أكبر من دماغ المرأة. ويتبين كذلك أن نسبة وزن دماغ المرأة إلى وزن جسدها تكون هذه النسبة أكبر عند النساء بقليل من الرجال.
إذاً هناك ميزات فضَّل الله فيها الرجل على المرأة وذلك لمصلحة الرجل والمرأة ولكي تستقيم الحياة ويعيشان بسعادة، ولذلك يقول تعالى: (الرِّجَالُ قَوَّامُونَ عَلَى النِّسَاءِ بِمَا فَضَّلَ اللَّهُ بَعْضَهُمْ عَلَى بَعْضٍ) [النساء: 34]. ولكي يقوم الرجل على المرأة يرعاها ويوفر لها الحماية والأمان والمعيشة الكريمة لابد أن يتمتع ببعض الميزات ليتمكن من القيام بذلك، وهكذا يجب أن نفهم التفضيل هنا.
فتفضيل الرجل على المرأة ليس لأن الله يحب الرجل أكثر أو لأن الله "يميز" بينهما كما يقول بعض المشككين، لا، بل ليمكِّن الرجل من القيام بأعباء الحياة، وبالمقابل أعطى للمرأة ميزات لا يتمتع بها الرجل، فمثلاً زوَّدها في دماغها بخلايا مختصة بتحمل الألم والضغوط والإجهادات أكثر من الرجل، فسبحان الله!
بينت الدراسات أن حجم دماغ الرجل أكبر من حجم دماغ المرأة عند نفس العمر، وذلك بعشرة إلى عشرين بالمئة، وهذه الزيادة عند الرجل في حجم دماغه تجعله مختلفاً عن المرأة في الكثير من العمليات الدماغية.
هناك بحث جديد أظهر أن الرجل والمرأة عندما يقومان بنفس العمل فإن المناطق التي تنشط في الدماغ تختلف بين المرأة والرجل، والعجيب أن الرجل والمرأة عندما يقومان بأعمال مختلفة فقد تنشط المنطقة ذاتها من الدماغ، وهكذا نجد الاختلاف يتجلى في كل شيء بين الذكر والأنثى.
ومن الفروق بين الرجل والمرأة أن المرأة لديها فرصة مضاعفة للإصابة بالكآبة أكثر من الرجل، وهي تحزن أكثر 8 مرات من الرجل، ويقول العلماء إن المرأة أفضل من الرجل في الذاكرة القصيرة أي أنها تتذكر الأشياء التي حدثت قبل قليل بسرعة أكبر من الرجل، ولكن الذاكرة الطويلة فإن الرجل يتفوق عليها كثيراً.
وأخيراً أهمس في قلب كل أخت مؤمنة: لا تحزني من هذه الاختلافات ومن تفوق الرجل عليك في كثير من المجالات، فالله تبارك وتعالى اختار لك ما هو أفضل من ذلك بكثير، يكفي أن الله شرَّفك بالأمومة، فهذه الميزة إذا قمتِ بها على الوجه الذي يرضي الله تعالى فإنها ستكون طريقاً سهلاً للوصول إلى الجنة إن شاء الله تعالى. ويكفي أيضاً أن الله جعلك الوعاء الذي يحتوي الرجال، لأن المرأة هي التي تحمل في بطنها الذكر والأنثى، وكل رجل مهما كان عبقرياً لابد أن يتخرج أولاً من مدرسة أمه!
ــــــــــــ
بقلم عبد الدائم الكحيل
المراجع
1- "His Brain, Her Brain" by Larry Cahill in Scientific American, May, 2005.
2- UCI researchers find that, even at rest, men’s and women’s brains behave differently, University of California, April 3, 2006.
3- http://www.sciencedaily.com/releases/2005/12/051201165615.htm







.gif)





